您的位置:首页 > 产品中心 > Anti-phospho-Erk1/2 (Thr202/Tyr204, Thr185/Tyr187)Antibody, recombinant clone AW39R, rabbit monoclonal
Anti-phospho-Erk1/2 (Thr202/Tyr204, Thr185/Tyr187)Antibody, recombinant clone AW39R, rabbit monoclonal

产品别名
Anti-phospho-Erk1/2 (Thr202/Tyr204, Thr185/Tyr187)Antibody, recombinant clone AW39R, rabbit monoclonal
Erk1, Erk2, p44-MAPK, p42-MAPK, MAPK2, PRKM2, p41mapk, PRKM1, p44, ERK2, P42MAPK, ERK, p42, MAPK1, ERT1, ERT2, Mitogen-activated protein kinase, MAP Kinase 2, MAP Kianse 1, MAPK
基本信息
| eCl@ss | 32160702 |
| NACRES | NA.41 |
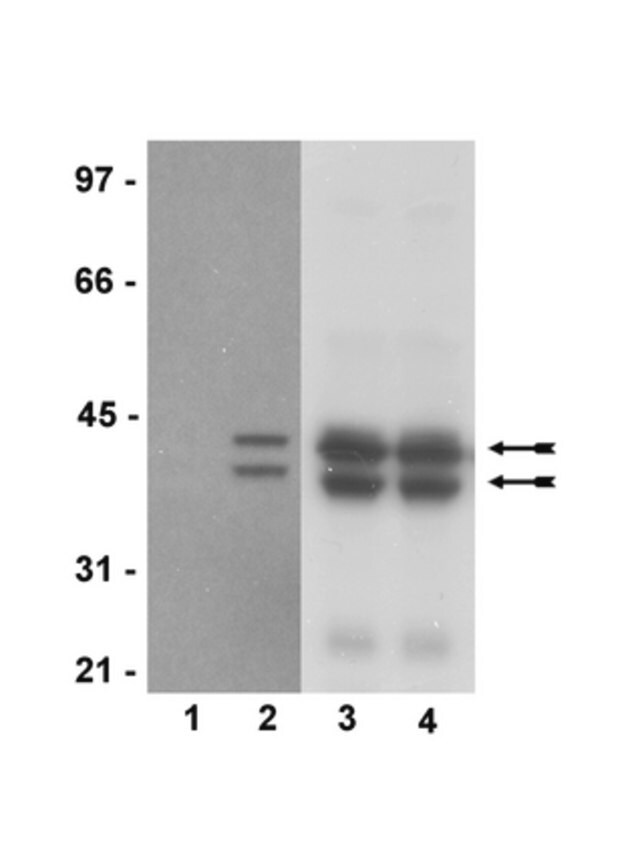
| General description【一般描述】 | Erk (Extracellular signal-Related Kinase) is a family of two, highly homologous proteins denoted as Erk1 (p44, MAPK3) and Erk2 (p42, MAPK1) that both function in the same pathway. The two proteins are often referred to collectively as Erk1/2 or p44/p42 MAP kinase. The Erk pathway is considered the classical, canonical MAPK (Mitogen-Activated Protein Kinase) signaling pathway. It is an evolutionarily conserved pathway that controls and is a critical regulator of the growth and survival through the promotion of cell proliferation and the prevention of apoptosis. Erk is involved in the control of many fundamental cellular processes including cell proliferation, survival, differentiation, apoptosis, motility and metabolism. Erk is activated by growth factor stimulation of receptor tyrosine kinases (RTKs), GPCR, and/or integrin stimulation. This activates the Ras-Raf-MEK-Erk pathway that results in the phosphorylation/activation of Erk1/2 (p44/p42) on the TxY motif (Thr202/Tyr204 and Thr185/Tyr187 for Erk1 & Erk2, respectively). |
| Specificity【特异性】 | Recognizes Erk 1 & 2 only when dually phosphorylated on its TxY activation motif. |
| Immunogen【免疫原】 | Epitope: pTEpY in the activation loop Phosphorylated peptide corresponding to amino acids surrounding the pTEpY motif in the activation loop of human phospho-Erk1/2, in which the Thr and Tyr residues are phosphorylated |
| Application【应用】 | Anti-phospho-Erk1/2 (Thr202/Tyr204 Antibody, Thr185/Tyr187), recombinant clone AW39R detects level of phospho-Erk1/2 (Thr202/Tyr204 & has been published & validated for use in Mplex & WB. Research Category Signaling Research Sub Category MAP Kinases Kinases & Phosphatases |
| Quality【质量】 | Routinely evaluated by immunoblot on lysate from PDGF-treated NIH/3T3 cells |
| Linkage【联系】 | Replaces: 05-797 |
| Physical form【外形】 | Protein A Purified immunoglobulin in 30% glycerol, 0.07M Tris-glycine, pH 7.4, 0.105 M NaCl, 0.035% sodium azide as a preservative. Format: Purified Protein A purified |
| Analysis Note【分析说明】 | Control PDGF-treated NIH/3T3 cell lysates |
| Legal Information【法律信息】 | UPSTATE is a registered trademark of Merck KGaA, Darmstadt, Germany |
产品性质
| biological source【生物来源】 | rabbit |
| Quality Level【质量水平】 | 100 |
| antibody form【抗体形式】 | purified immunoglobulin |
| antibody product type | primary antibodies |
| clone【克隆】 | AW39R, monoclonal |
| species reactivity | human, mouse, rat |
| manufacturer/tradename | Upstate® |
| technique(s) | multiplexing: suitable western blot: suitable |
| isotype【同位素/亚型】 | IgG |
| NCBI accession no.【NCBI登记号】 | NP_002736 NP_002737 |
| UniProt accession no.【UniProt登记号】 | P27361 P28482 |
| shipped in【运输】 | dry ice |
产品说明
| Target description【目标描述】 | Erk1 (p44) (~44 kDa) and Erk2 (p42) (~42 kDa). |
| Storage and Stability【储存及稳定性】 | Stable for 1 year at -20°C from date of receipt. Handling Recommendations: Upon receipt, and prior to removing the cap, centrifuge the vial and gently mix the solution. Aliquot into microcentrifuge tubes and store at -20°C. Avoid repeated freeze/thaw cycles, which may damage IgG and affect product performance. |
| Disclaimer【免责声明】 | Unless otherwise stated in our catalog or other company documentation accompanying the product(s), our products are intended for research use only and are not to be used for any other purpose, which includes but is not limited to, unauthorized commercial uses, in vitro diagnostic uses, ex vivo or in vivo therapeutic uses or any type of consumption or application to humans or animals. |
安全信息
| Storage Class Code【储存分类代码】 | 12 - Non Combustible Liquids |
| WGK | WGK 1 |




