您的位置:首页 > 产品中心 > Anti-Phospho-AKT1S1-T246 antibody produced in rabbit
Anti-Phospho-AKT1S1-T246 antibody produced in rabbit



产品别名
Anti-Phospho-AKT1S1-T246 antibody produced in rabbit
Lobe
AKT1S1
PRAS40
产品性质
| biological source【生物来源】 | rabbit |
| Quality Level【质量水平】 | 100 |
| antibody form【抗体形式】 | affinity isolated antibody |
| antibody product type | primary antibodies |
| clone【克隆】 | polyclonal |
| form【形式】 | buffered aqueous solution |
| mol wt【分子量】 | 13 27 29 |
| species reactivity | rat, mouse, human |
| concentration【浓度】 | 1.52 mg/ml |
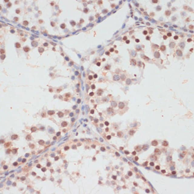
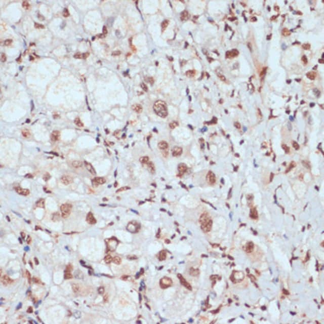
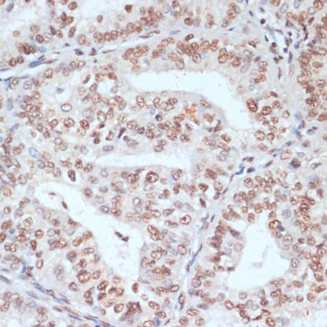
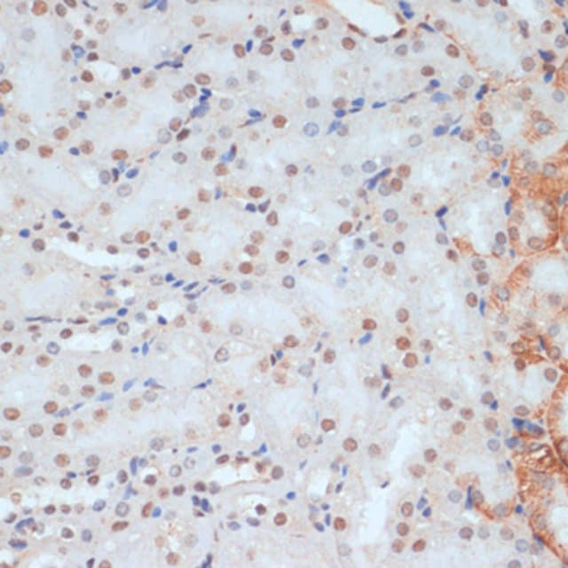
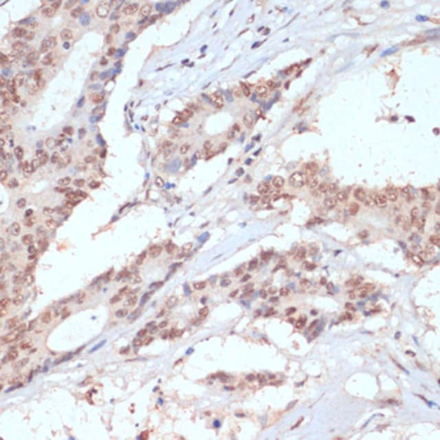
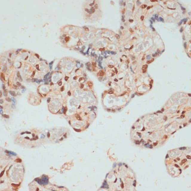
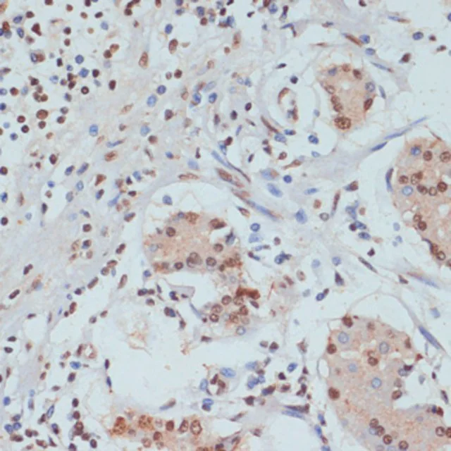
| technique(s) | immunohistochemistry: 1:50-1:100 western blot: 1:500-1:2000 |
| UniProt accession no.【UniProt登记号】 | Q96B36 |
| shipped in【运输】 | wet ice |
| storage temp.【储存温度】 | −20℃ |
| Gene Information | human ... AKT1S1(84335) |
基本信息
| Immunogen【免疫原】 | A synthetic phosphorylated peptide around T246 of human AKT1S1 (NP_001092102.1). |
| Physical form【外形】 | PBS with 0.02% sodium azide,50% glycerol,pH7.3. |
产品说明
| Storage and Stability【储存及稳定性】 | Store at -20℃. Avoid freeze / thaw cycles. |
安全信息
| Storage Class Code【储存分类代码】 | 12 - Non Combustible Liquids |
| WGK | WGK 1 |






















