您的位置:首页 > 产品中心 > Anti-phospho PKA-RII (Ser96) Antibody
Anti-phospho PKA-RII (Ser96) Antibody

| 产品编号: | 4112178 |
| 规格: | from rabbit, purified by affinity chromatography |
| 包装规格: | 100 μL |
| 产品类别: | 进口试剂 |
| 品牌: | Sigma-Aldrich |
| 优惠价: | 立即咨询 |
产品别名
Anti-phospho PKA-RII (Ser96) Antibody
PRKAR2A, protein kinase, cAMP-dependent, regulatory, type II, alpha
基本信息
| eCl@ss | 32160702 |
| NACRES | NA.41 |
| General description【一般描述】 | cAMP-dependent protein kinase type II-alpha regulatory subunit (PKA-RIIα) is an enzymatic protein belonging to the cAMP-dependent kinase regulatory chain family, a group of regulatory proteins involved in the PKA signaling pathway. This pathway has been shown to have regulatory roles in development, growth, and mortality of various organisms. PKA-RIIα is a subunit of the PKA type II regulatory chain, one of two PKA isoforms, and is involved in the regulation of membrane interactions through its binding to anchoring proteins, such as MAP2 kinase. Before its activation with cAMP, the enzyme is comprised of two catalytic chains and two regulatory chains, which split into two catalytic monomers and one regulatory dimmer after interacting with cAMP. |
| Specificity【特异性】 | The antibody recognizes PKA-RIIalpha when phosphorylated at Ser96. |
| Immunogen【免疫原】 | Epitope: Phosphorylated Ser96 of PKA-RIIalpha KLH-conjugated linear peptide corresponding to mouse PKA-RIIalpha phosphorylated at Ser96. |
| Application【应用】 | Research Category Cell Structure Signaling Research Sub Category Cytoskeletal Signaling Kinases & Phosphatases This Anti-phospho PKA-RII (Ser96) Antibody is validated for use in WB for the detection of phospho PKA-RII (Ser96). |
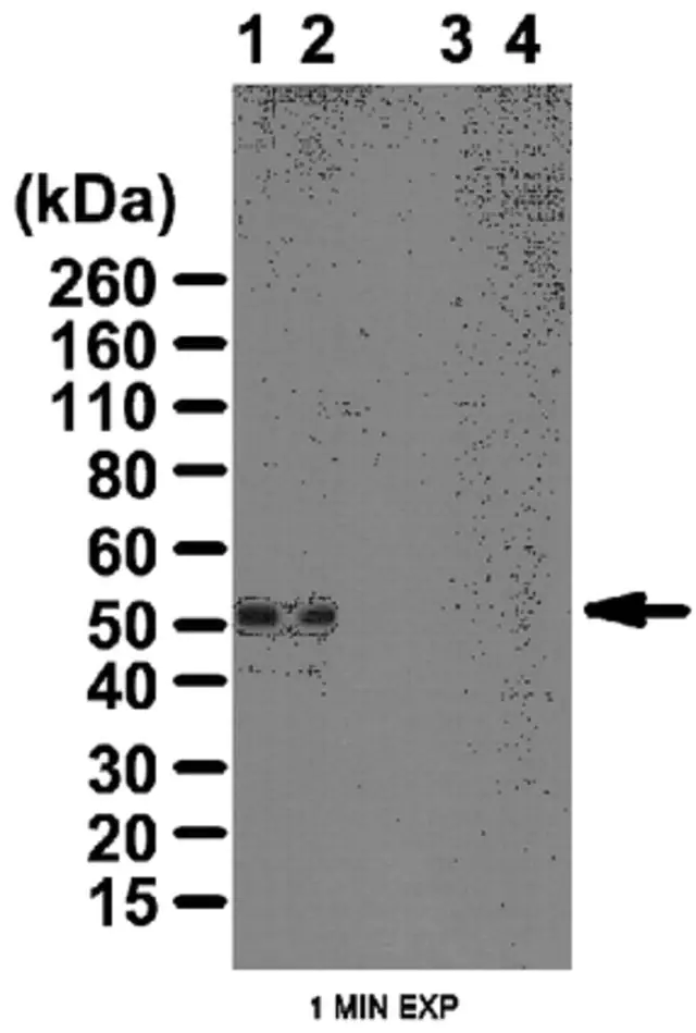
| Quality【质量】 | Evaluated by Western Blot in Forskolin untreated and treated PC12 cell lysates. Western Blot Analysis: 1 µg/mL of the antibody detected PKA-RIIalpha (Ser96) in 10 µg of Forskolin untreated and treated PC12 cell lysates. |
| Linkage【联系】 | Replaces: 06-704 |
| Physical form【外形】 | Affinity purified Purified rabbit polyclonal in buffer containing 0.1 M Tris-Glycine, pH 7.4, 150 mM NaCl, with 0.05% sodium azide. |
| Analysis Note【分析说明】 | Control Forskolin untreated and treated PC12 cell lysates |
| Other Notes【其他说明】 | Concentration: Please refer to the Certificate of Analysis for the lot-specific concentration. |
产品性质
| biological source【生物来源】 | rabbit |
| Quality Level【质量水平】 | 100 |
| antibody form【抗体形式】 | affinity isolated antibody |
| antibody product type | primary antibodies |
| clone【克隆】 | polyclonal |
| purified by【纯化方式】 | affinity chromatography |
| species reactivity | human, rat |
| species reactivity (predicted by homology) | mouse (based on 100% sequence homology) |
| technique(s) | western blot: suitable |
| NCBI accession no.【NCBI登记号】 | NP_032950 |
| UniProt accession no.【UniProt登记号】 | P12367 |
| shipped in【运输】 | wet ice |
| Gene Information | human ... PRKAR2A(5576) |
产品说明
| Target description【目标描述】 | ~ 51 kDa MW observed. The specificity of the target was shown by Lambda phosphatase treatment. |
| Storage and Stability【储存及稳定性】 | Stable for 1 year at 2-8°C from date of receipt. |
| Disclaimer【免责声明】 | Unless otherwise stated in our catalog or other company documentation accompanying the product(s), our products are intended for research use only and are not to be used for any other purpose, which includes but is not limited to, unauthorized commercial uses, in vitro diagnostic uses, ex vivo or in vivo therapeutic uses or any type of consumption or application to humans or animals. |
安全信息
| Storage Class Code【储存分类代码】 | 12 - Non Combustible Liquids |
| WGK | WGK 1 |




