您的位置:首页 > 产品中心 > Anti-GABA(B)R1 Protein Antibody, clone N93A/49
Anti-GABA(B)R1 Protein Antibody, clone N93A/49

产品别名
Anti-GABA(B)R1 Protein Antibody, clone N93A/49
Gamma-aminobutyric acid type B receptor subunit 1, GABA-B receptor 1, GABA-B-R1, GABA-BR1, GABABR1, Gb1
基本信息
| eCl@ss | 32160702 |
| NACRES | NA.41 |
| General description【一般描述】 | Gamma-aminobutyric acid (GABA) is the main inhibitory neurotransmitter in the mammalian central nervous system. GABA exerts its effects through ionotropic [GABA(A/C)] receptors, to produce fast synaptic inhibition, and metabotropic [GABA(B)] receptors, to produce slow, prolonged inhibitory signals. The GABA(B) receptor consists of a heterodimer of two related 7-transmembrane receptors, GABA(B) receptor 1 and GABA(B) receptor 2. The GABA(B) receptor 1 gene is mapped to chromosome 6p21.3 within the HLA class I region close to the HLA-F gene. Susceptibility loci for multiple sclerosis, epilepsy, and schizophrenia have also been mapped in this region. Alternative splicing of this gene generates 4 transcript variants. |
| Specificity【特异性】 | Other Homologies: Human (97% sequence homology). This antibody does not cross react with GABA(B)R1. |
| Immunogen【免疫原】 | Recombinant protein corresponding to rat GABA(B)R1. |
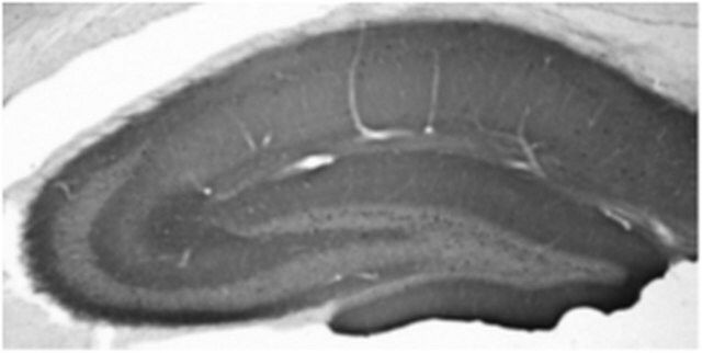
| Application【应用】 | This GABA(B)R1 Protein antibody is validated for use in WB & IHC for the detection of the GABA(B)R1 Protein protein. Immunohistochemistry Analysis: A representative lot detected GABA(B)R1 in adult rat hippocampus tissue (Prof. J. Trimmer, University of California, Davis). Western Blotting Analysis: A representative lot detected GABA(B)R1 in adult rat brain tissue and in WT GABA(B)R1 mice, but demonstrated a loss of signal in GABA(B)R1 knockout mice. |
| Quality【质量】 | Evaluated by Western Blotting in rat microsomal brain tissue. Western Blotting: 1 µg/mL of this antibody detected GABA(B)R1 in 10 µg of rat microsomal brain tissue. |
| Physical form【外形】 | Format: Purified Purified mouse monoclonal IgG1κ in buffer containing 0.1 M Tris-Glycine (pH 7.4), 150 mM NaCl, and 0.05% sodium azide. Protein G Purified |
| Analysis Note【分析说明】 | Control Rat microsomal brain tissue |
| Other Notes【其他说明】 | Concentration: Please refer to the Certificate of Analysis for the lot-specific concentration. |
产品性质
| Quality Level【质量水平】 | 100 |
| biological source【生物来源】 | mouse |
| antibody form【抗体形式】 | purified immunoglobulin |
| antibody product type | primary antibodies |
| clone【克隆】 | N93A/49, monoclonal |
| species reactivity | rat, mouse |
| technique(s) | immunohistochemistry: suitable western blot: suitable |
| isotype【同位素/亚型】 | IgG1κ |
| NCBI accession no.【NCBI登记号】 | NP_112290 |
| UniProt accession no.【UniProt登记号】 | Q9Z0U4 |
| shipped in【运输】 | wet ice |
产品说明
| Target description【目标描述】 | ~115 kDa observed. Five isoforms at 112 kDa (Isoform 1E), 108 kDa (Isoform 1A), 95 kDa (Isoform 1B), 98 kDa (Isoform 1C) and 91 kDa (Isoform 1D) are known to exist. Uncharacterized bands may be observed above ~150 kDa in some tissue lysates. |
| 【免责声明】 | Unless otherwise stated in our catalog or other company documentation accompanying the product(s), our products are intended for research use only and are not to be used for any other purpose, which includes but is not limited to, unauthorized commercial uses, in vitro diagnostic uses, ex vivo or in vivo therapeutic uses or any type of consumption or application to humans or animals. |
安全信息
| Storage Class Code【储存分类代码】 | 12 - Non Combustible Liquids |
| WGK | WGK 1 |




