您的位置:首页 > 产品中心 > 抗 MKP1 兔抗
抗 MKP1 兔抗
Anti-MKP1 antibody produced in rabbit

产品别名
抗 MKP1 兔抗
Anti-MKP1 antibody produced in rabbit
Dual specificity protein phosphatase hVH1
Dual specificity protein phosphatase 1
3CH134
DUS1
CL100
基本信息
| NACRES | NA.41 |
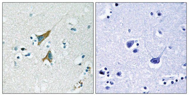
| General description【一般描述】 | MKP1 (mitogen-activated protein kinase phosphatase 1)/DUSP1 (dual specificity phosphatase 1) is a dual specificity phosphatase. It is also called as CL100, 3CH134 and Erp. MKP1 is located in the nucleus and is expressed in several tissues. It is located on human chromosome 5q35. Anti-MKP1 Antibody detects endogenous levels of total MKP1 protein. |
| Immunogen【免疫原】 | The antiserum was produced against synthesized peptide derived from human MKP1. Immunogen Range: 318-367 |
| Biochem/physiol Actions【生化/生理作用】 | In mast cells, MKP1 (mitogen-activated protein kinase phosphatase 1) blocks the functions of extracellular signal-regulated kinase (Erk)‐1/2 by glucocorticoid. It controls axon branching promoted by BDNF (brain-derived neurotrophic factor). |
| Features and Benefits【特点和优势】 | Evaluate our antibodies with complete peace of mind. If the antibody does not perform in your application, we will issue a full credit or replacement antibody. Learn more. |
| Physical form【外形】 | Rabbit IgG in phosphate buffered saline (without Mg2+ and Ca2+), pH 7.4, 150mM NaCl, 0.02% sodium azide and 50% glycerol. |
产品性质
| biological source【生物来源】 | rabbit |
| conjugate【偶联物】 | unconjugated |
| antibody form【抗体形式】 | affinity isolated antibody |
| antibody product type | primary antibodies |
| clone【克隆】 | polyclonal |
| form【形式】 | buffered aqueous solution |
| mol wt【分子量】 | antigen 39 kDa |
| species reactivity | human |
| concentration【浓度】 | ~1 mg/mL |
| technique(s) | ELISA: 1:5000 immunohistochemistry: 1:50-1:100 western blot: 1:500-1:1000 |
| NCBI accession no.【NCBI登记号】 | P28562 |
| shipped in【运输】 | wet ice |
| storage temp.【储存温度】 | −20℃ |
| Gene Information | human ... DUSP1(1843) |
产品说明
| Disclaimer【免责声明】 | Unless otherwise stated in our catalog or other company documentation accompanying the product(s), our products are intended for research use only and are not to be used for any other purpose, which includes but is not limited to, unauthorized commercial uses, in vitro diagnostic uses, ex vivo or in vivo therapeutic uses or any type of consumption or application to humans or animals. |
安全信息
| Storage Class Code【储存分类代码】 | 12 - Non Combustible Liquids |
| WGK | nwg |





