您的位置:首页 > 产品中心 > Anti-FHIT antibody produced in rabbit
Anti-FHIT antibody produced in rabbit

产品别名
Anti-FHIT antibody produced in rabbit
AP3Aase
Dinucleosidetriphosphatase
AP3A hydrolase
Bis(5′-adenosyl)-triphosphatease
Bis(5′-adenosyl)-triphosphatase
基本信息
| MDL number | MFCD01864401 |
| NACRES | NA.41 |
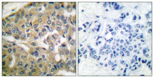
| General description【一般描述】 | Anti-FHIT Antibody detects endogenous levels of total FHIT protein. |
| Immunogen【免疫原】 | The antiserum was produced against synthesized peptide derived from human FHIT. Immunogen Range: 81-130 |
| Features and Benefits【特点和优势】 | Evaluate our antibodies with complete peace of mind. If the antibody does not perform in your application, we will issue a full credit or replacement antibody. Learn more. |
| Physical form【外形】 | Rabbit IgG in phosphate buffered saline (without Mg2+ and Ca2+), pH 7.4, 150mM NaCl, 0.02% sodium azide and 50% glycerol. |
产品性质
| biological source【生物来源】 | rabbit |
| Quality Level【质量水平】 | 100 |
| conjugate【偶联物】 | unconjugated |
| antibody form【抗体形式】 | affinity isolated antibody |
| antibody product type | primary antibodies |
| clone【克隆】 | polyclonal |
| form【形式】 | buffered aqueous solution |
| mol wt【分子量】 | antigen 16 kDa |
| species reactivity | human |
| concentration【浓度】 | ~1 mg/mL |
| technique(s) | ELISA: 1:10000 immunofluorescence: 1:100-1:500 immunohistochemistry: 1:50-1:100 western blot: 1:500-1:1000 |
| NCBI accession no.【NCBI登记号】 | P49789 |
| UniProt accession no.【UniProt登记号】 | P49789 |
| shipped in【运输】 | wet ice |
| storage temp.【储存温度】 | −20℃ |
| Gene Information | human ... FHIT(2272) |
安全信息
| Storage Class Code【储存分类代码】 | 12 - Non Combustible Liquids |
| WGK | nwg |






